To Top To Top icon

Commencer une conversation

Bonjour! Cliquez sur l’un de nos membres ci-dessous pour discuter sur WhatsApp.

Besoin d’aide?

Contactez-nous

Par un orthodontiste, pour les orthodontistes

La première contention fixe 100 % numérique en PEEK qui sécurise vos résultats et votre temps fauteuil

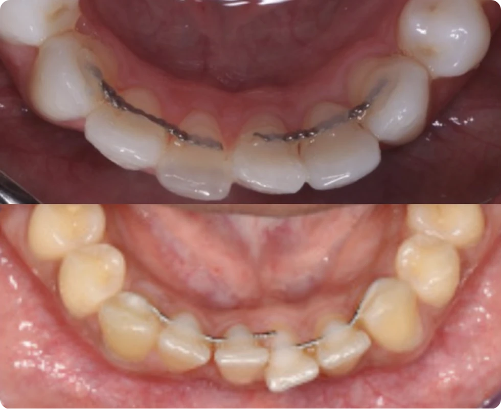
La contention orthodontique métallique n’est plus à la hauteur

Plus d’un million de contentions orthodontiques sont posées tous les ans chez nos patients en France. Ces fils de contention sont censés rester à vie en bouche pour conserver l’alignement dentaire obtenu à la suite d’un traitement, cependant, c’est jusqu’à 50 % de ces contentions qui accusent des problèmes au cours de leurs vies.
Actuellement, la situation peut se résumer ainsi :

12-50*%

Echec
  • Casse de fil
  • Décollement
  • Effet indésirable

≈100%

Pliées à la main
  • Imprécision
  • Défaut d’adaptation
  • Inconfort

≈ 1

RDV SAV / patient sur 24 mois*
  • Temps fauteuil non facturé
  • Désorganisation de vos plannings
  • Bouche-à-oreille négatif

* Failure of fixed orthodontic retainers: A systematic review, Anna Iliadi, Journal of Dentistry, Volume 43, Issue 8, 201

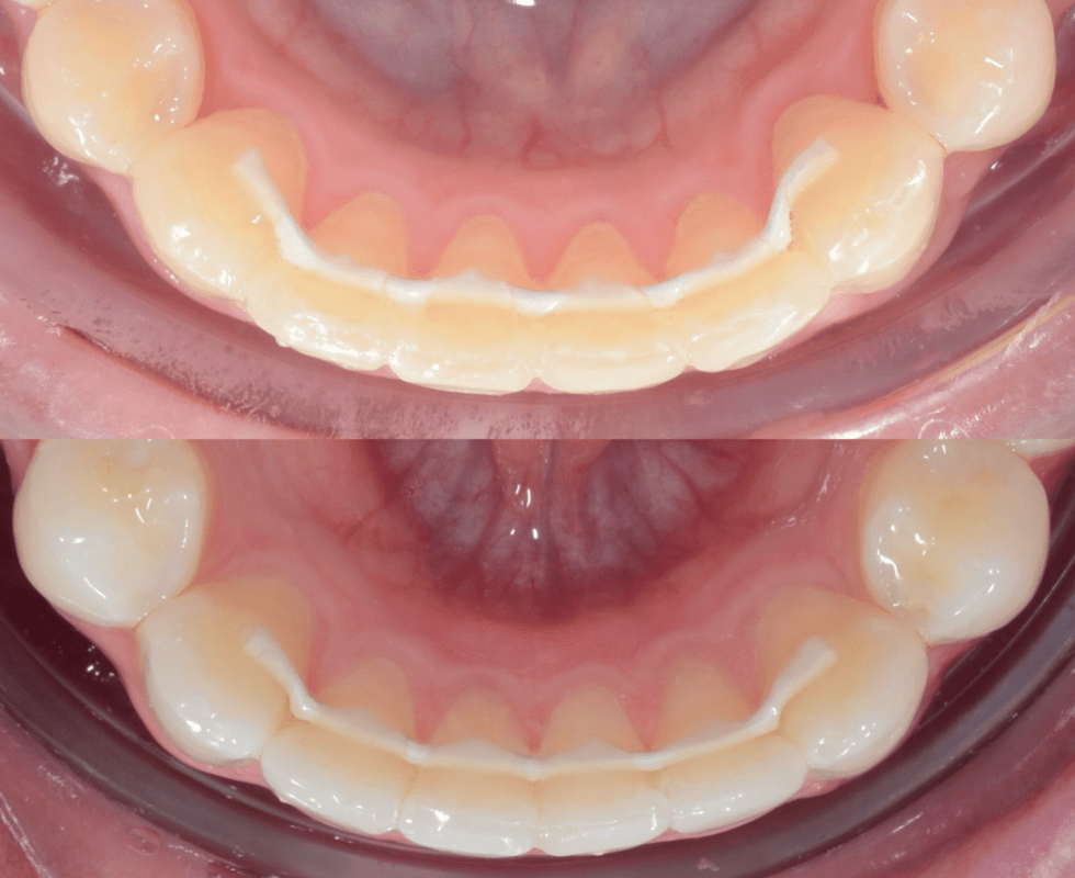
La contention 100% sur-mesure en PEEK

Conception numérique sur mesure, parfaitement adaptée en 3D à la surface dentaire
PEEK = Thermoplastique le plus performant au monde
Matériau flexible et extrémement résistant pour empécher les déformations et la casse
Absence de métal, ne provoque pas d’artéfacts aux images radio
Temps de pose réduit de 33 % (4 minutes)
Co‑développé avec l’INSA
La contention 100% sur-mesure en PEEK

L'impact d'eZtain pour votre cabinet - plus de rendez-vous, moins de SAV

Indicateur Fil plié manuel eZtain
Taux casse 12 mois 12‑50 % 0%
Temps de pose 6 min 4min
SAV/patient (24 mois) 0,46 0,00
Artefacts IRM / CBCT 100 % des cas 0 %
Temps‑fauteuil perdu par SAV 70 urgences contention par an 0 
L'impact d'eZtain pour votre cabinet - plus de rendez-vous, moins de SAV
Mettez fin à la désorganisation de votre cabinet grâce à une solution fiable, rapide et sans SAV
En savoir plus

En clinique – Trois étapes, zéro surprises

Scanner intra-oral avant la pose d'un fil de contention
Étape 1 – Empreinte numérique
  • Séance de contrôle avant dépose : un scan intra-oral est réalisé
  • Le fichier STL est automatiquement téléversé vers notre laboratoire depuis le scanner.
Valider sa commande sur le site eZtain
Étape 2 – Valider sa prescription
  • Pour valider votre commande, il vous faut envoyer la prescription depuis votre espace praticien eZtain
  • Commande en trois clics et réceptions au maximum une semaine après
Boutique spécialisée en contentions orthodontiques
Étape 3 – Pose guidée au fauteuil
  • Au rendez-vous suivant, vous pourrez passer à la pose des contentions.
  • Vous pouvez conserver l’intégralité de vos protocoles et colles habituelles.
  • Aucun ajustement n’est nécessaire, le fil est parfaitement adapté à la morphologie de votre patient.

Nos partenaires témoignent

Depuis plus de 3 ans, nous avons de très bons retours.

Dr. David Couchat
Dr. David Couchat
Orthodontiste à Marseille
24 février 2025

J’utilise beaucoup les contentions Eztain qui présentent l’avantage d’être très faciles à coller et parfaitement adaptées.
De plus le matériau étant blanc les patients apprécient la discrétion et le fait de ne pas avoir de métal en bouche : ce qui est un gros argument pour eux.
Il me semble que ce matériau devrait aussi logiquement éviter les syndromes du fil dus aux fils métalliques ce qui est très intéressant.

Orthodontiste à Strasbourg Dr. Jeremy Ohayon
Dr. Jeremy Ohayon
Orthodontiste à Strasbourg
29 novembre 2023

Offrir à mes patients le choix entre une contention traditionnelle et eZtain a nettement amélioré leur satisfaction. eZtain se distingue par sa couleur adaptée qui se fond avec les dents de façon plus naturelle, et l’absence de composants métalliques est définitivement un avantage majeur.

Orthodontiste à Annecy Dr. Gauthier Bodart
Dr. Gauthier Bodart
Orthodontiste à Annecy
14 février 2024

Lorsque je présente à mes patients l’option entre une contention classique et eZtain, ils sont immédiatement séduits par eZtain pour sa teinte naturelle et l’absence de métal. Par ailleurs j’utilise eZtain depuis plusieurs mois maintenant, et je suis impressionné par la fiabilité de ces contentions. Je recommande sans hésiter.

Orthodontiste à Strasbourg Dr. Cihan Babayigit.
Dr. Cihan Babayigit
Orthodontiste à Strasbourg
01 mars 2024

Je suis très impressionné par la qualité et l’innovation derrière eZtain. Ces contentions sur mesure s’adaptent parfaitement et confortablement, ce qui fait toute la différence pour mes patients.

Dr. Peirolo, orthodontiste à Genève
Dr. Peirolo
Orthodontiste à Genève
13 juin 2024

Je ne peux que recommander les contentions eZtain. Elles sont extrêmement précises (je n’utilise jamais la clef de positionnement), l’envoi est rapide, elles sont esthétiques, et les patients mentionnent leur confort.

Docteur Aurore Delavierre
Dr. Aurore Delavierre
Orthodontiste à Orléans
27 octobre 2024

J’utilise dans certaines situations cliniques les contentions eZtain en alternative aux contentions traditionnelles métalliques. Ce dispositif satisfait particulièrement les patients demandeurs d’une alternative sans métal. L’adaptation et le collage sont très faciles en bouche. La plateforme eZtain permet une commande en toute simplicité avec des délais de livraison rapides.

Dr. Matthieu Esquenet
Dr. Matthieu Esquenet
Orthodontiste à Lausanne
07 novembre 2024

Mes patients et moi-même sommes très satisfaits des contentions eZtain, qui proposent une alternative discrète aux contentions métalliques classiques. Le collage est aisé même sans clé de repositionnement, et l’adaptation est parfaite.

Orthodontiste à Lausanne Dr. Nicolas Philippides
Dr. Nicolas Philippides
Orthodontiste à Lausanne
22 juin 2022

Les contentions eZtain offrent une résistance exceptionnelle et un ajustement parfait en bouche. Mes patients sont très enthousiastes de pouvoir bénéficier d’une solution de contention plus esthétique et sans métal. Enfin, je constate depuis 2 ans une réduction des urgences liées à des contentions cassées au cabinet, ce qui libère du temps à nos équipes et réduit les coûts liés à de petits traitements de récidives.

Dr. David Couchat
Dr. David Couchat
Orthodontiste à Marseille
24 février 2025

J’utilise beaucoup les contentions Eztain qui présentent l’avantage d’être très faciles à coller et parfaitement adaptées.
De plus le matériau étant blanc les patients apprécient la discrétion et le fait de ne pas avoir de métal en bouche : ce qui est un gros argument pour eux.
Il me semble que ce matériau devrait aussi logiquement éviter les syndromes du fil dus aux fils métalliques ce qui est très intéressant.

Orthodontiste à Strasbourg Dr. Jeremy Ohayon
Dr. Jeremy Ohayon
Orthodontiste à Strasbourg
29 novembre 2023

Offrir à mes patients le choix entre une contention traditionnelle et eZtain a nettement amélioré leur satisfaction. eZtain se distingue par sa couleur adaptée qui se fond avec les dents de façon plus naturelle, et l’absence de composants métalliques est définitivement un avantage majeur.

Orthodontiste à Annecy Dr. Gauthier Bodart
Dr. Gauthier Bodart
Orthodontiste à Annecy
14 février 2024

Lorsque je présente à mes patients l’option entre une contention classique et eZtain, ils sont immédiatement séduits par eZtain pour sa teinte naturelle et l’absence de métal. Par ailleurs j’utilise eZtain depuis plusieurs mois maintenant, et je suis impressionné par la fiabilité de ces contentions. Je recommande sans hésiter.

Orthodontiste à Strasbourg Dr. Cihan Babayigit.
Dr. Cihan Babayigit
Orthodontiste à Strasbourg
01 mars 2024

Je suis très impressionné par la qualité et l’innovation derrière eZtain. Ces contentions sur mesure s’adaptent parfaitement et confortablement, ce qui fait toute la différence pour mes patients.

Dr. Peirolo, orthodontiste à Genève
Dr. Peirolo
Orthodontiste à Genève
13 juin 2024

Je ne peux que recommander les contentions eZtain. Elles sont extrêmement précises (je n’utilise jamais la clef de positionnement), l’envoi est rapide, elles sont esthétiques, et les patients mentionnent leur confort.

Docteur Aurore Delavierre
Dr. Aurore Delavierre
Orthodontiste à Orléans
27 octobre 2024

J’utilise dans certaines situations cliniques les contentions eZtain en alternative aux contentions traditionnelles métalliques. Ce dispositif satisfait particulièrement les patients demandeurs d’une alternative sans métal. L’adaptation et le collage sont très faciles en bouche. La plateforme eZtain permet une commande en toute simplicité avec des délais de livraison rapides.

Dr. Matthieu Esquenet
Dr. Matthieu Esquenet
Orthodontiste à Lausanne
07 novembre 2024

Mes patients et moi-même sommes très satisfaits des contentions eZtain, qui proposent une alternative discrète aux contentions métalliques classiques. Le collage est aisé même sans clé de repositionnement, et l’adaptation est parfaite.

Orthodontiste à Lausanne Dr. Nicolas Philippides
Dr. Nicolas Philippides
Orthodontiste à Lausanne
22 juin 2022

Les contentions eZtain offrent une résistance exceptionnelle et un ajustement parfait en bouche. Mes patients sont très enthousiastes de pouvoir bénéficier d’une solution de contention plus esthétique et sans métal. Enfin, je constate depuis 2 ans une réduction des urgences liées à des contentions cassées au cabinet, ce qui libère du temps à nos équipes et réduit les coûts liés à de petits traitements de récidives.

Ce site est enregistré sur wpml.org en tant que site de développement. Passez à un site de production en utilisant la clé remove this banner.